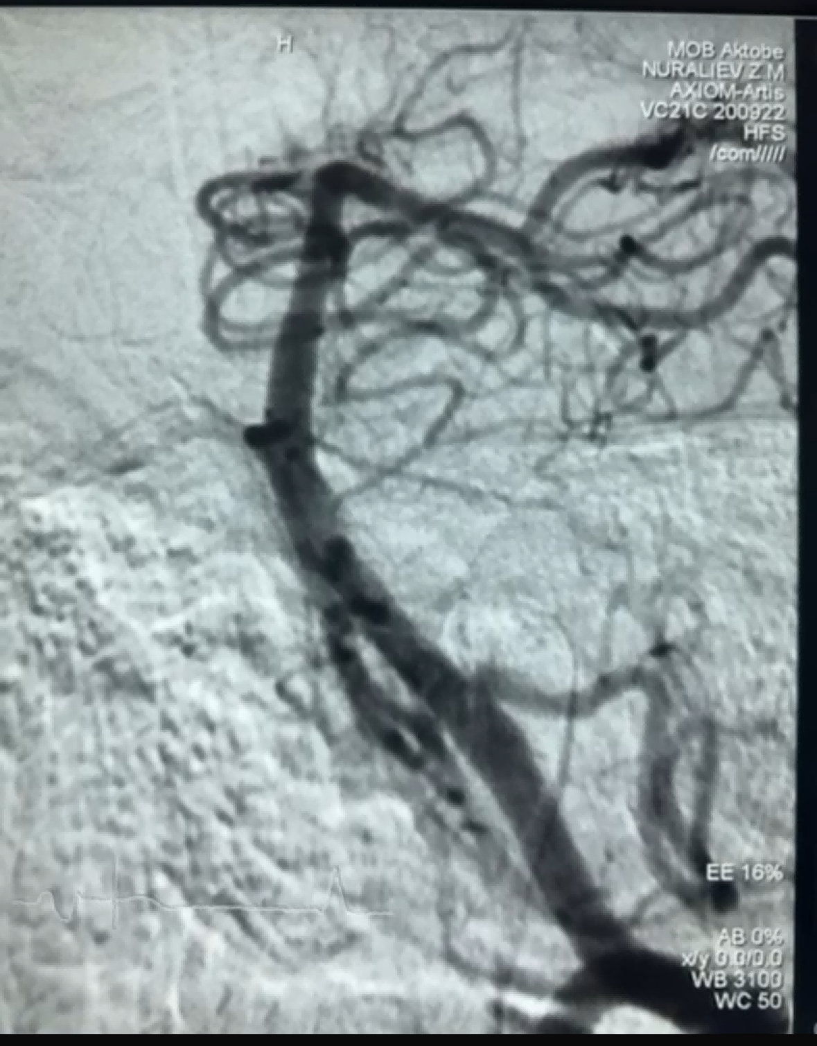
Onlangs was er een succesvolle trombectomie met behulp van de Dredger Stent Retriever van NeuroSafe Medical Co., Ltd. De Dredger Stent Retriever heeft een niet-invasieve zachte punt, die het risico op intimale schade aanzienlijk vermindert, en heeft een uniek speciaal gevormd gatontwerp dat bloedstolsels voornamelijk opvangt door de openingen af te klemmen.





